20岁男生挤痘致肺部穿孔:这个习惯险致命
11月24日,一则医疗消息引发关注:一个看似寻常的挤痘举动,竟引发如此严重的后果。近日,宁波大学附属第一医院公布了一起相关案例。
据了解,20岁的大学生小林(化名)为准备期末考试连续熬夜学习,脸上冒出一颗黄豆大小的痘痘。
为了让痘痘尽快消退,他未洗手就直接对着镜子将其挤破,还连带挤出些许脓液。
不料几天后,长痘部位开始化脓恶化,更糟的是小林出现持续发烧、剧烈咳嗽等症状,即使服用退烧药也仅能短暂缓解。
最折磨人的是右胸部的刺痛感,像有根针在不断扎刺,深呼吸或咳嗽时更是痛得直冒冷汗。
持续到第三天,小林体温已升至39℃,急忙赶往宁波大学附属第一医院就诊。
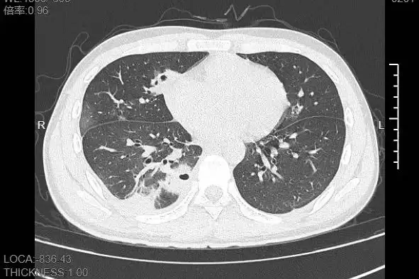
接诊的呼吸与危重症医学科丁群力主任医师发现其症状异常,立即安排CT检查。结果显示:小林肺部出现十余个空洞,部分肺组织已坏死,这是典型的血源性肺脓肿。
进一步的细菌培养和基因检测揭开真相——小林血液中检出了金黄色葡萄球菌,这种细菌其实潜藏在每个人的皮肤表面。
医生解释道,“元凶正是那颗被挤破的痘痘。这颗痘痘长在面部‘危险三角区’,挤压时的压力将细菌推入血管,引发败血症,继而细菌随血流抵达肺部,侵蚀肺组织。”

游乐网为非赢利性网站,所展示的游戏/软件/文章内容均来自于互联网或第三方用户上传分享,版权归原作者所有,本站不承担相应法律责任。如您发现有涉嫌抄袭侵权的内容,请联系youleyoucom@outlook.com。
同类文章
AI学会认路如何补齐产业化最后拼图
AI编程工具虽能快速生成代码,却常因调用过时接口导致地图定位不准。这种空间逻辑的缺陷阻碍了AI融入物理世界。百度地图已服务超400万开发者,提供数百项API。当AI通过地图学会“认路”,便能跨越虚拟与现实的关键门槛,推动AI产业化的真正爆发。
雷蛇灵刃18游戏本发布 台式机性能助力游戏与AI开发
雷蛇发布新款灵刃18游戏本,采用一体成型再生铝机身,兼顾高端质感与环保。搭载RTX5090显卡,在AI图像生成与推理等测试中性能强劲。产品现已上市,起售价31999元。
三星 Galaxy S24 手机自燃致用户受伤 韩国用户反映情况
韩国用户反映,正常使用且未充电的三星GalaxyS24手机突然冒烟并爆炸,导致用户手部轻微灼伤。用户强调手机无跌落或第三方维修史。消防部门初步判断符合锂电池自燃特征。三星官方尚未公开回应,但已指示当地售后联系用户,预计将回收设备进行检测。事件原因有待进一步调查。
三星Galaxy Z Fold8 Wide折叠手机双摄曝光 主摄超广角均达5000万像素
三星GalaxyZFold8Wide折叠屏手机据传将采用双摄系统,主摄与超广角均为5000万像素,配备4800mAh电池。其内屏尺寸约7 6英寸,展开后机身厚度或仅4 5毫米。该机型预计7月发布,旨在抢占市场先机,应对苹果可能推出的折叠屏产品。
妙鸭相机团队去年解散目前仅维持基本运营
妙鸭相机团队已于去年9月底解散,目前仅维持产品基本运行。该团队核心成员约十余人,高峰期曾达三四十人。作为阿里大文娱内部孵化的AIGC应用,其于2023年7月正式上线后迅速走红,用户可通过上传照片并付费生成数字分身与AI写真,曾风靡一时。
- 日榜
- 周榜
- 月榜
1
2
3
4
5
6
7
8
9
10
相关攻略
2015-03-10 11:25
2015-03-10 11:05
2021-08-04 13:30
2015-03-10 11:22
2015-03-10 12:39
2022-05-16 18:57
2025-05-23 13:43
2025-05-23 14:01
热门教程
- 游戏攻略
- 安卓教程
- 苹果教程
- 电脑教程
热门话题

