男子植入芯片忘密码,暴力破解成唯一办法
11月30日传来一则奇闻——美国明尼苏达州一位魔术师突发奇想,竟然将一枚微型电脑芯片植入自己的手掌,打算用它来变几套有趣的戏法。令人哭笑不得的是,他居然把芯片的解锁密码忘得一干二净。
免费影视、动漫、音乐、游戏、小说资源长期稳定更新! 👉 点此立即查看 👈

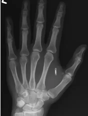
这故事听起来像一篇荒诞短篇小说,却真实发生在明尼苏达州的魔术师兼分子生物学家王子腾(Zi Teng Wang,音译)身上。本月他在个人Facebook账号上分享了这段窘境,还附了一张X光片——可以清晰看见那枚惹祸的微型芯片,就嵌在他的拇指与食指之间的指缝处,轮廓分明。
「我现在正活在自己亲手打造的赛博朋克反乌托邦里,被锁在自己身体内的科技之外,而这一切全得怪我自己。」这位艺名为「心灵术士子」(Zi the Mentalist)的魔术师写道。
他在Facebook帖子中解释道,多年前出于魔术表演的趣味性,他将一枚射频识别(RFID)微型芯片植入手掌。该芯片的原始设计是:当观众用带RFID读取功能的智能手机触碰他的手时,就能触发预设的魔术效果。
「但事实证明,反复让别人把手机按在我手上,试图找到他们手机RFID读取器的位置,根本谈不上神秘、神奇或令人惊叹,」他写道,「而且很多时候,观众的手机压根没开启这个功能。如果改用我自己的手机来扫描,又显然缺乏表演张力。」
后来,他不再将芯片用作魔术道具,转而尝试将其重新编程:先是写入一个比特币地址,随后又链接到图像分享平台Imgur上的一个网络梗图。
「但几年前那个Imgur链接失效了。当我打算重新写入芯片内容时,惊恐地发现自己竟然忘了当初设置的密码。」他说。
故事的结局是:懂技术的朋友告诉他,唯一解锁芯片的办法,就是把RFID读取器绑在手掌上,「连续几天甚至几周」,通过「暴力破解」尝试所有可能的密码组合。于是,这枚芯片至今仍留在他手中,连同那个遗失的密码一起,成了无法访问的「体内遗迹」。
「至少那个Imgur链接现在又能打开了,」王子腾写道,「但我仍然被锁在自己身体里的科技之外,虽然很不方便,倒也挺搞笑的。」
类似事件并非首例。前《Vice》杂志记者丹尼尔·奥伯豪斯(Daniel Oberhaus)曾在2018年回忆,自己曾酒后一时兴起,将一枚近场通信(NFC)芯片植入掌中。和王子腾一样,他也忘记了芯片的密码,一度自嘲为「世界上最没用的赛博格」。所幸,经过数小时翻阅技术手册,他最终找回了密码。「如果要给任何考虑植入NFC芯片的人一条建议,那就是:千万别喝醉了去做这事。」他打趣道。
游乐网为非赢利性网站,所展示的游戏/软件/文章内容均来自于互联网或第三方用户上传分享,版权归原作者所有,本站不承担相应法律责任。如您发现有涉嫌抄袭侵权的内容,请联系youleyoucom@outlook.com。
同类文章
领克GT概念跑车北京车展首发 百公里加速仅2秒
领克首款GT概念跑车亮相北京车展,由中欧团队联合打造。新车采用经典GT比例与低趴宽体设计,配备液态金属蓝涂装与2+2座舱,设有高性能模式按键可激活空气动力学套件。车辆采用后驱布局与AI智能运动控制系统,百公里加速约2秒,设计融合瑞典极简美学并参考全球用户反馈。
英伟达RTX 5070移动版GPU发布 12GB显存性能大幅提升
英伟达推出12GB显存版RTX5070移动GPU,与8GB版同步上市。两者均基于Blackwell架构,核心规格相同,仅显存容量不同。此举旨在缓解GDDR7芯片供应压力,为OEM提供灵活配置,加速笔记本产品布局,更大显存可更好满足游戏与AI应用需求。
微星新款雾面WOLED显示器MAG 276QRY28与276QRDY54正式发售
微星将于5月15日推出两款26 5英寸雾面WOLED显示器MAG276QRY28和276QRDY54,售价分别为2499元和6299元。均采用第四代WOLED面板,具备QHD分辨率、VESADisplayHDRTrueBlack500认证、1500尼特峰值亮度及99 5%DCI-P3色域覆盖。276QRY28刷新率为280Hz,高阶款276QRDY54支持4
中芯国际一季度净利润13.61亿元 同比增长0.4%
中芯国际2026年第一季度营收176 17亿元,同比增长8 1%;净利润13 61亿元,同比增长0 4%。公司预计第二季度收入环比增长14%至16%,毛利率指引上调至20%至22%。这反映出公司在行业复苏中展现出财务韧性,并通过运营优化增强了短期增长势头。
Google Cloud 持续优化 PostgreSQL 核心功能
谷歌云近期分享了其对PostgreSQL核心功能的贡献,重点涉及逻辑复制、升级流程与系统稳定性。更新包括逻辑复制的自动冲突检测、序列同步及订阅管理优化,提升了分布式架构可靠性。升级工具增强缩短了大型数据库升级时间,确保数据完整性。此外,修复了多项漏洞以增强系统稳健性,并预告了结构。
- 日榜
- 周榜
- 月榜
1
2
3
4
5
6
7
8
9
10
相关攻略
2015-03-10 11:25
2015-03-10 11:05
2021-08-04 13:30
2015-03-10 11:22
2015-03-10 12:39
2022-05-16 18:57
2025-05-23 13:43
2025-05-23 14:01
热门教程
- 游戏攻略
- 安卓教程
- 苹果教程
- 电脑教程
热门话题

