打一针就能治疗粉碎性骨折,浙大团队研发出全球首款“骨胶水”
9 月 9 日消息,据“邵逸夫医院”官微消息,浙江大学医学院附属邵逸夫医院(下称“浙大邵逸夫医院”)骨科范顺武教授、林贤丰副主任医师团队从牡蛎粘附的奥秘中获取灵感,突破百年医学难题,成功研发出全球首款能够在人体血液环境中实现即时强效黏合的骨胶水材料 ——“骨 02”碎骨黏。
2025 年 9 月,历经 8 个月的严谨探索,浙大邵逸夫医院联合浙大二院、上海六院等国内多家权威医疗机构,成功完成全球首个针对粉碎性骨折黏合治疗的多中心随机对照临床研究入组,“骨 02”在 150 余例受试患者中展现出良好的安全性和有效性,各项指标均达到预设标准。据介绍,这一创新生物材料可普遍用于大小骨折碎片的黏合固定,有望减少或替代传统金属内固定物的使用,为骨科领域带来颠覆性的治疗模式革新。
据了解,骨折作为临床上常见的损伤,若不能获得及时有效的治疗,可造成严重后果,这是导致中青年患者病残、老年患者死亡的主要因素之一。随着现代医疗技术水平的提高,尤其是螺钉、钢板等金属内固定物的应用,骨折的整体预后已有了翻天覆地的改变,但对于伴随众多细小碎骨块的粉碎性骨折,临床治疗仍面临巨大挑战:传统金属固定方法难以实现解剖复位,固定小骨片过程不仅费时费力,难以做到严丝合缝的拼接,且易导致骨碎片在操作中丢失或被吸收,造成骨量不可逆损失,进而引发骨愈合延迟或不愈合。特别是关节部位的粉碎性骨折,如果无法精准复位,极易造成关节面缺损或不平整,最终发展为创伤性关节炎,严重影响患者功能与生活质量。
全球范围内,粉碎性骨折每年新增病例高达数千万。如何为这些患者提供更有效、更微创的治疗方案,成为骨科领域最具挑战性的临床难题之一。
“如果能有一种可以直接黏合骨头的医用材料……”深耕骨科临床四十余年,这个看似简单的设想,自范顺武教授从医之初便扎根在他的心中。事实上,近百年来,全球各地的科学家和临床医生从未停止对于骨黏合材料的探索,却始终未能突破生物安全性与血液环境这两项关键技术瓶颈。
范顺武教授将这一“接力棒”交到了“90 后”的林贤丰副主任医师手里。早在 2016 年,当时还是住院医师的林贤丰就已在手术台旁感受到粉碎性骨折治疗的复杂与无奈。他观察到即便是经验丰富的资深专家,也需要在术中耗费数个小时来固定碎骨片,效果却常不尽人意。结合亲身体会和基础研究积累,林贤丰下定决心要带领年轻团队投身骨胶水的研发,然而最初几年却一直未能取得实质性进展,研究一度陷入停滞。
转机出现在林贤丰回家乡温州探亲时 —— 从小在海边长大的他,无意间看到跨海大桥底部密密麻麻附着着一层牡蛎。它们历经风浪冲刷,仍与混凝土牢固结合、浑然一体。
这幕自然奇景瞬间给了他灵感:既然牡蛎能在海水中粘得牢固,那么能否在人体湿性环境中创造类似的可能性?
受到这一仿生学原理的启发,团队明确了方向。但将灵感转化为产品需要跨越重重壁垒:首先是材料的选择与突破,需要找到能在血液环境中快速形成强力黏合、且生物相容性优异的复合材料,并精确控制温度,避免组织热损伤;其次是工艺方面的创新,必须建立标准化、可复制的制备流程,确保材料易于手术操作,满足临床应用的实际需求;安全验证上,则需通过严格实验证明其在体内的长期稳定性与安全可吸收性。
通过对牡蛎生物粘附机制的科学分析,历经 50 余种配方迭代、数百次测试优化,结合大量的鼠、兔、犬等动物实验,团队最终成功攻克了材料的生物毒性、血液环境黏合性和手术操作便捷性等关键难题。
科研成果实现了三大核心突破:在血液浸润的湿性生理环境下实现 2-3 分钟即时、强效黏合;操作简便高效,显著提升手术效率;材料可完全生物降解,约 6 个月后随骨愈合而自然吸收,实现真正的“无痕”,免除传统手术需二次手术之苦。
这一凝聚创新智慧的成果被团队赋予了一个有趣的名字 ——“骨 02”。命名灵感源于家喻户晓的 502 胶水,寓意对其在骨科领域实现同等强效黏合与广泛应用的期许。

实验证实,“骨 02”最大黏合拉力可达 400 多斤,具有替代金属内固定物的强大潜力,同时可降低金属异物反应和感染风险,大幅提升手术效率、减少术中创伤,实现真正的骨科手术微创化。
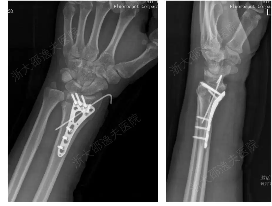
“骨 02”的临床价值也已在全国各中心 150 余例受试病例中得到验证。其中,一位年轻工人因外伤导致腕部桡骨远端粉碎性骨折,传统治疗方案需大切口植入钢板螺钉(见图 2),不仅创伤大、存在肌腱粘连或神经损伤风险,且需术后一年行二次手术取出。应用“骨 02”黏合技术,团队仅通过一个 2~3 厘米的微创切口注入“胶水”材料,短短 3 分钟内即完成了粉碎骨块的精准黏合与固定。术后 3 个月随访显示,患者骨折愈合良好,无并发症,腕关节功能完全恢复(见图 3)。


“特别值得一提的是它的广泛应用前景。”林贤丰表示,“几乎适用于全身所有部位、各种尺寸的骨折修复,尤其是传统器械难以固定的微小碎骨。由于其快速黏合和使用便捷的特点,将来有望用于国防战事、灾害救援等特殊场景下的骨折紧急救治。”
这项由中国医生原创的科技成果,标志着我国在骨折微创治疗领域实现了重大自主突破。
目前,“骨 02”的核心研究团队已向国家知识产权局申请中国发明专利,并同步递交了国际 PCT 专利,经权威查新确认具有新颖性与创造性。
下一步,团队计划同步开展口腔种植牙及脊柱微创内固定替代的临床试验。随着临床应用的不断拓展,“骨 02”正从单点突破迈向全域治疗体系的革新。
游乐网为非赢利性网站,所展示的游戏/软件/文章内容均来自于互联网或第三方用户上传分享,版权归原作者所有,本站不承担相应法律责任。如您发现有涉嫌抄袭侵权的内容,请联系youleyoucom@outlook.com。
同类文章
HPE发布64TB内存服务器 专为内存数据库优化
HPE(慧与)近日重磅发布了业界首款64TB内存服务器——HPE Compute Scale-up Server 3250。这款产品精准定位于大型内存数据库与实时分析场景,致力于应对那些对内存容量、数据吞吐速度及延迟有严苛要求的核心关键业务负载。 简而言之,这是一款专为海量数据即时运算与实时处理设计
扎克伯格投资生物制药公司获诺和诺德细胞疗法技术
以细胞疗法为代表的前沿生物技术创新浪潮,正加速向一批具备AI基因的医疗科技公司汇聚。 当地时间5月11日,成立仅两年多的生物技术新锐Cellular Intelligence宣布,成功收购丹麦制药巨头诺和诺德旗下一款处于研发阶段的帕金森病细胞疗法。这笔交易并非简单的资产转让,其背后映射出AI驱动下生
HPE发布64TB内存服务器,专为内存数据库优化设计
5月12日,HPE(慧与)在美国正式发布了业界首款配备64TB超大内存的服务器——HPE Compute Scale-up Server 3250。这款产品精准定位于大型内存数据库、实时分析等对内存容量有极致需求的关键应用场景,旨在高效处理企业中最核心、最复杂的业务工作负载。 值得关注的是,这是HP
荣耀平板20配置曝光 搭载骁龙7 Gen3与10100mAh大电池
荣耀平板20详细配置曝光,核心参数全面揭晓。知名数码博主近期在社交平台分享了这款新品的完整规格,从屏幕素质到硬件性能,信息详尽,引发了广泛关注。 根据最新爆料,荣耀平板20的最大亮点是其12 1英寸的3K超清LCD大屏。这块屏幕不仅拥有16:10的黄金观影比例,更支持120Hz高刷新率,无论是观看高
山灵Majestic黑胡桃木限定版耳机上市 首发价8998元
山灵音频再推重磅新品。今日,品牌正式揭晓Majestic系列的全新力作——黑胡桃木限定版旗舰耳机。这款备受瞩目的新品定价为8998元,并将于5月13日(明日)全面启动发售。 熟悉山灵的发烧友会注意到,Majestic产品线始终致力于珍贵木料的声学探索。此前,该系列已相继推出黄花梨、海南黄花梨、黄金樟
- 日榜
- 周榜
- 月榜
1
2
3
4
5
6
7
8
9
10
相关攻略
2015-03-10 11:25
2015-03-10 11:05
2021-08-04 13:30
2015-03-10 11:22
2015-03-10 12:39
2022-05-16 18:57
2025-05-23 13:43
2025-05-23 14:01
热门教程
- 游戏攻略
- 安卓教程
- 苹果教程
- 电脑教程
热门话题

