复旦团队邓娟/孙立婷发现介导三叉神经痛的神经环路
文 | 脑声常谈
免费影视、动漫、音乐、游戏、小说资源长期稳定更新! 👉 点此立即查看 👈
三叉神经痛(Trigeminal Neuralgia, TN)被医学界公认为人类最极端的疼痛体验之一,常被称作“天下第一痛”。这种疼痛如同闪电或电击般,在面部反复、剧烈地爆发。尽管超过九成的患者都在尝试药物治疗,但残酷的现实是,仍有约三分之二的人被迫困于重度疼痛的阴影之中。对于那些在刀尖上呼吸的患者而言,破译其神经机制不仅是科学命题,更是临床上迫在眉睫的“救命良药”。
2026年3月14日,复旦大学脑科学转化研究院邓娟研究员及孙立婷副研究员在国际著名期刊《Advanced Science》杂志发表了“A Tac1 -Expressing Brainstem Pathway Underlies the Pathogenesis of Trigeminal Neuralgia”,首次鉴定出介导TN发病的TG-Sp5CTac1-PBNTac1 脑干通路,同时揭示了口面部疼痛与躯体疼痛的差异化处理机制。

研究首次鉴定出介导三叉神经痛(TN) 发病的TG-Sp5CTac1-PBNTac1 脑干神经通路,发现Tac1基因是投射到臂旁核(PBN)的三叉神经脊束核尾侧亚核(Sp5C)神经元的特异性分子标记。PBNTac1神经元和投射到PBN 的Sp5CTac1神经元在TN痛觉超敏中起核心调控作用,化学遗传学抑制该通路神经元、敲减Sp5C投射神经元中Tac1基因可显著缓解TN相关痛觉超敏。且该通路特异性接收三叉神经节(TG)的伤害性和非伤害性感觉信号,同时揭示了口面部疼痛与躯体疼痛存在截然不同的神经处理机制,为TN的靶向治疗提供了全新的靶点。

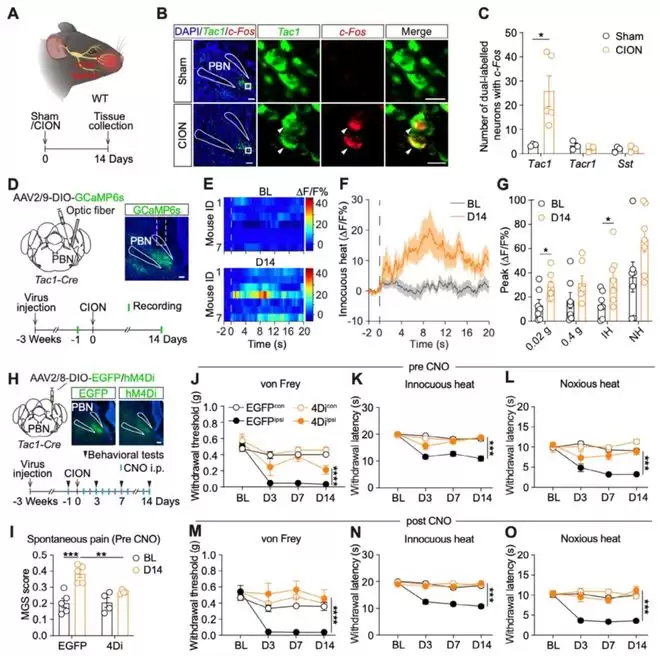
图一 PBNTac1神经元关键性调控TN诱发的痛觉过敏
利用定制化头固定系统与小鼠表情量表(MGS),精准建立并验证了TN引起自发痛与诱发痛的评估体系。
研究发现,三叉神经损伤(CION)会激活PBN,而化学遗传学抑制该脑区能显著预防 TN 诱发的机械痛敏。
通过RNAscope与活体钙成像技术,作者进一步锁定了PBN中表达Tac1的神经元亚群:这群神经元在 TN 模型中活动异常增强,且通过化学遗传学手段长期抑制PBNTac1神经元,不仅能有效缓解小鼠的痛苦表情及痛敏行为,还展现出逆转神经可塑性的潜力。此外,呼吸功能测试排除了镇痛效果源于呼吸状态改变的可能,从而确立了PBNTac1神经元是调控三叉神经痛及相关神经病理性疼痛的关键靶点。

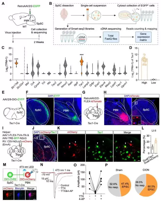
图二 投射至PBN的Sp5C神经元主要为Tac1阳性
研究者接下来利用Smart-seq3单细胞测序发现,投射至PBN的Sp5C神经元几乎全都是兴奋性的,并且特异性表达Tac1基因,从而确认了Tac1是这群神经元的关键分子标记。
随后,通过多种Cre/FLPo鼠系(如 Tac1, Tacr1, Pdyn, Nmur2)的对比示踪实验,证实只有Sp5C中的Tac1神经元(Sp5CTac1)能大量投射到PBN。更深入的狂犬病毒(RV)逆向示踪与光遗传学电生理记录显示,Sp5CTac1神经元与 PBNTac1神经元之间存在直接的单突触兴奋性连接。最关键的是,在三叉神经痛(CION)模型中,这条Sp5CTac1 → PBNTac1通路的突触连接强度显著增强。
这表明,这条精准的神经“排线”不仅负责痛觉信息的传递,其连接性的病理性提升更是诱发三叉神经痛的核心机制。

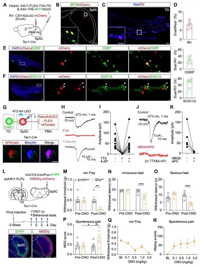
图三 Sp5CTac1阳性神经元直接将三叉神经节的信号传递至臂旁核
研究者利用RV跨突触示踪发现,投射到PBN的Sp5CTac1神经元直接接收来自TG的信号输入。
对这些TG神经元进行鉴定显示,它们既包含传递伤害性刺激(如痛觉)的 CGRP和SCN11A阳性细胞,也包含传递非伤害性刺激(如触觉)的 NF200 阳性细胞。
电生理记录进一步证实,约37%的Sp5CTac1神经元与TG建立了直接的单突触兴奋性连接。最后,通过化学遗传学特异性激活这群接收TG输入的 Sp5CTac1神经元,发现即便在没有外界伤害刺激的情况下,也能诱发小鼠出现明显的机械痛敏、热痛敏及痛苦表情,且表现出剂量依赖性的自发擦脸行为。
这有力地证明了TG → Sp5CTac1通路足以驱动面部痛觉行为,是三叉神经痛传导链条中的核心环节。
总结
研究首次鉴定出介导TN发病的TG-Sp5CTac1-PBNTac1 关键通路,发现Tac1是PBN投射型Sp5C神经元的特异性分子标记,明确了口面部疼痛与躯体疼痛的差异化神经机制。
现有TN治疗药物(如卡马西平)为非特异性靶点,副作用显著;本研究发现的Sp5CTac1-PBNTac1通路Tac1基因为TN提供了全新的靶向治疗靶点,为开发高特异性、低副作用 TN 药物奠定基础。
文章来源:DOI: 10.1002/advs.202516310
游乐网为非赢利性网站,所展示的游戏/软件/文章内容均来自于互联网或第三方用户上传分享,版权归原作者所有,本站不承担相应法律责任。如您发现有涉嫌抄袭侵权的内容,请联系youleyoucom@outlook.com。
同类文章
苹果税降了!中国内地App Store抽成降至25%
苹果官宣下调中国区App Store抽成:标准佣金率从30%降至25%,2026年3月正式生效 北京时间3月13日,苹果公司正式发布重要公告,宣布对中国内地(大陆)App Store的佣金费率进行历史性调整。公告明确,自2026年3月15日起,针对iOS及iPadOS平台上的付费应用下载与应用内购买
AWE2026探展索尼:新一代真彩RGB电视画质全球首秀
索尼真彩RGB电视惊艳亮相AWE:重新定义家庭影院的画质新标准 每年三月,全球科技爱好者都将目光聚焦于上海。2026年中国家电及消费电子博览会(AWE)盛大开幕,而索尼在本届展会上带来的画质革新,毫无悬念地成为了全场瞩目的焦点与核心亮点。 索尼此次参展策略独具匠心,采用了创新的“双馆联动”模式。主展
推迟打磨AI影像 荣耀Robot Phone原计划3月开卖
荣耀Robot Phone上市时间调整:精心优化,打造完整智能影像体验 近期,荣耀高管罗巍的一次公开分享,引发了科技圈的广泛讨论。他诚恳地表示,荣耀Robot Phone目前最大的遗憾,是未能如最初规划的那样,在3月份正式推向市场。这一表态并非无的放矢,事实上,依据原定的产品战略与开发进度,这款设备
小米澎湃 OS 3 Beta 版上线自研系统级输入法,支持 AI 对话、高级材质等
小米澎湃OS 3 Beta版迎来新成员:自研系统级输入法初亮相 3月30日,小米澎湃OS迎来了重要更新。据知名数码博主@懒酱的日记本爆料,在最新推送的小米澎湃OS 3 Beta版本中,小米自研的系统级输入法已悄然上线,引发了科技圈和米粉的广泛关注。但博主同时指出,作为早期的内测版本,该输入法目前在功
耐寒防水还耐折 OPPO Find N6寒冷冬季随便用
天寒地冻也能随心折叠?折叠屏手机冬季户外使用体验解析 许多用户,尤其是北方地区的朋友,在选择折叠屏手机时常存疑虑:严寒冬季户外使用时,屏幕能否经受考验,实现稳定开合?毕竟,传统认知与厂商指南常将低温视为折叠屏可靠性的潜在挑战。 针对这一普遍关切,OPPO Find N6系列以实测数据给出了肯定回应。
- 日榜
- 周榜
- 月榜
相关攻略
2015-03-10 11:25
2015-03-10 11:05
2021-08-04 13:30
2015-03-10 11:22
2015-03-10 12:39
2022-05-16 18:57
2025-05-23 13:43
2025-05-23 14:01
热门教程
- 游戏攻略
- 安卓教程
- 苹果教程
- 电脑教程

